No.60 口ゴボと下顎後退症を口蓋型歯科矯正用アンカースクリュー(i-station)で改善した症例



No.60 口ゴボと下顎後退症を口蓋型歯科矯正用アンカースクリュー(i-station)で改善した症例
30代女性 千葉県習志野市
『前歯で噛めない、あごがない、口ゴボで口が閉じれない状態を外科矯正は避けて治したい。』という主訴でした。上顎両側5番、下顎右側5番と予後不良である下顎左側6番を抜歯しました。
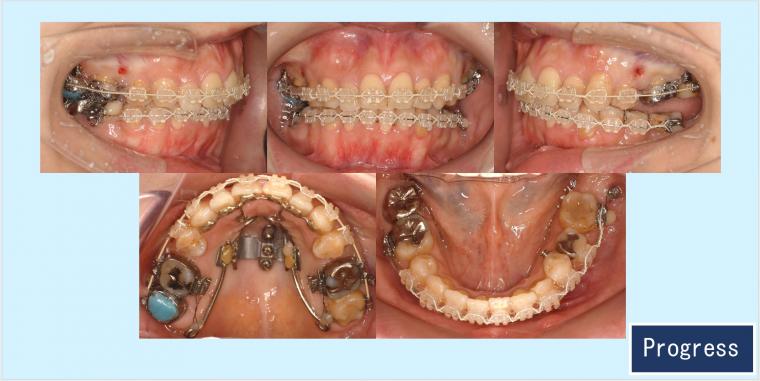
歯科矯正用アンカースクリュー植立を口蓋部(i-station)と歯槽部に併用して、抜歯スペースを利用して上下顎の叢生や上顎歯列全体の圧下による下顎のオートローテーションを致しました。咬合はもちろんですが、口元・側貌・スマイルラインとてもきれいになりました。
途中で妊娠、出産などライフイベントがありましたが、いつもご相談しながら治療にご協力いただきました。「仕上がり大満足です!」と毎回のメンテナンス時におっしゃっていただくことが、スタッフ皆大変励みになっています。
症例紹介
診断名:過大なオーバージェットと重度なHigh angleと叢生を伴う下顎後退症例
年齢:30代 治療期間:2年4ヵ月 治療回数:30回 初診時日時:2021年12月16日
治療に用いた主な装置:
◎上顎 セラミックラビアルブラケット矯正装置
◎歯科矯正用アンカースクリュー 口蓋型(i-station)歯槽部TAD併用
抜歯部位:上顎両側5番、下顎右側5番と下顎左側6番
治療費:¥880.000-(通院費¥5.500別)
リスク・副作用:前歯の後方移動を行うと口元の突出感は確実に減少しますが、法令線が目立つなど好ましくない変化が起きることがあります。
毎回の調整時に顔貌確認をして、前歯の引っ込め方とガミースマイルの上がり方の調整を行うことで、好ましくない変化を予防して理想的な仕上がりを目指しています。
千葉県 津田沼・JR津田沼駅近くの歯医者「もりざわ歯科・矯正歯科」では、「思いっきり笑える『本当の笑顔』をつくる」ことをコンセプトに、矯正治療に力を入れています。当院の矯正治療は、咬合機能の向上はもちろんのこと、患者さまが本当に満足される『顔の変化』にもフォーカスした計画を立案。患者さまに「心から納得した状態」で治療を開始していただくことを大切にしています。
【千葉県 津田沼の歯医者 もりざわ歯科・矯正歯科の矯正治療の特徴】当院の矯正治療のポイント
① 見えにくい矯正(舌側矯正・マウスピース型矯正)に特化「装置が目立つのが嫌だ」という方のため、歯の裏側に装置をつける『舌側矯正』や、透明な『マウスピース型矯正装置』を用いた治療を専門的に行っています。見た目を気にせず治療を進めたい方にも対応が可能です。当院の矯正治療のポイント
② 『顔の変化』にフォーカスした治療計画当院では、歯並びだけでなく口元やお顔全体のバランス改善も重視しています。CTなどの先進設備を用い、デジタル診断に基づいた精密な治療計画で、患者さまが本当に満足できる仕上がりを追求します。当院の矯正治療のポイント
③ 専門医による丁寧なカウンセリング矯正治療は、日本矯正歯科学会臨床医、世界舌側矯正歯科学会認定医である女性歯科医師(院長)が担当します。カウンセリングを重視し、患者さまのご希望や不安を丁寧にお伺いした上で、「長期的に考えてベストと思える治療選択」を複数ご提案します。当院の矯正治療のポイント
④ お子さまの未来に寄り添う小児矯正母親でもある院長が、お子さまの症状や性格、成長段階を見極め、適切な開始時期と治療法をご提案。お子さまや保護者の方の気持ちに寄り添い、未来を見据えた小児矯正を行います。
千葉県 津田沼やJR津田沼駅周辺で矯正歯科・歯医者をお探しの方は、もりざわ歯科・矯正歯科までご相談ください。患者さま一人ひとりのご希望や骨格に合わせた、オーダーメイドの矯正治療をご提案いたします。