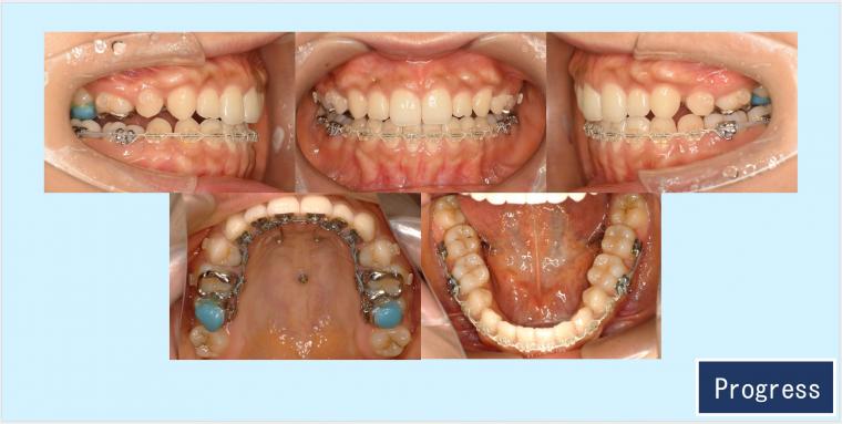
No.59 ハーフリンガルで軽度なガミースマイルと口ゴボを改善した症例



No.59 ハーフリンガルで軽度なガミースマイルと口ゴボを改善した症例
20代女性 千葉県習志野市
『上顎前歯部を引っ込めて、ガミースマイルを治したい。』という主訴でした。上下顎前歯歯軸が唇側傾斜し、口元の突出感がありました。上下顎両側5番を抜歯し、口蓋正中部に植立した歯科矯正用アンカースクリューを用いた歯列矯正を致しました。約2年間のハーフリンガル矯正治療の後、最後の数か月にマウスピース型矯正治療で細部の仕上げを行い、審美的・機能的改善が達成されました。
前歯の叢生が改善され、横顔のlineもすっきりしました。ガミーラインの上がり具合に関しては、治療途中で患者さんご自身のご希望を確認しながら調整しました。
ご協力ありがとうございました。
症例紹介
診断名:ガミースマイルを伴う上顎前突症例
年齢:20代 治療期間:2年2ヵ月 治療回数:24回 初診時日時:2022年2月20日
治療に用いた主な装置:
◎上顎カスタムメイド型リンガルブラケット矯正装置 (WIN)
◎下顎プラスチック製唇側ブラケット矯正装置
◎歯科矯正用アンカースクリュー
◎マウスピース型矯正装置
抜歯部位:上下顎両側5番、上下顎両側8番
治療費:1.320.000(通院費¥5.500別)
リスク・副作用:ガミースマイルの改善は、歯科用アンカースクリューから上顎前歯部を引っ張り、後方移動と共に圧下する必要があります。通常の後方移動よりも歯根吸収のリスクが大きいので、定期的にデンタル写真を撮影して確認し、弱く持続的な力で、注意深く矯正力をかけていきます。
千葉県 津田沼・JR津田沼駅近くの歯医者「もりざわ歯科・矯正歯科」では、「思いっきり笑える『本当の笑顔』をつくる」ことをコンセプトに、矯正治療に力を入れています。当院の矯正治療は、咬合機能の向上はもちろんのこと、患者さまが本当に満足される『顔の変化』にもフォーカスした計画を立案。患者さまに「心から納得した状態」で治療を開始していただくことを大切にしています。
【千葉県 津田沼の歯医者 もりざわ歯科・矯正歯科の矯正治療の特徴】
当院の矯正治療のポイント
① 見えにくい矯正(舌側矯正・マウスピース型矯正)に特化「装置が目立つのが嫌だ」という方のため、歯の裏側に装置をつける『舌側矯正』や、透明な『マウスピース型矯正装置』を用いた治療を専門的に行っています。見た目を気にせず治療を進めたい方にも対応が可能です。当院の矯正治療のポイント
② 『顔の変化』にフォーカスした治療計画当院では、歯並びだけでなく口元やお顔全体のバランス改善も重視しています。CTなどの先進設備を用い、デジタル診断に基づいた精密な治療計画で、患者さまが本当に満足できる仕上がりを追求します。当院の矯正治療のポイント
③ 専門医による丁寧なカウンセリング矯正治療は、日本矯正歯科学会臨床医、世界舌側矯正歯科学会認定医である女性歯科医師(院長)が担当します。カウンセリングを重視し、患者さまのご希望や不安を丁寧にお伺いした上で、「長期的に考えてベストと思える治療選択」を複数ご提案します。当院の矯正治療のポイント
④ お子さまの未来に寄り添う小児矯正母親でもある院長が、お子さまの症状や性格、成長段階を見極め、適切な開始時期と治療法をご提案。お子さまや保護者の方の気持ちに寄り添い、未来を見据えた小児矯正を行います。
千葉県 津田沼やJR津田沼駅周辺で矯正歯科・歯医者をお探しの方は、もりざわ歯科・矯正歯科までご相談ください。患者さま一人ひとりのご希望や骨格に合わせた、オーダーメイドの矯正治療をご提案いたします。