No.58 マウスピース矯正治療(インビザライン)ですきっ歯を改善した症例



No.58 マウスピース矯正治療(インビザライン)ですきっ歯を改善した症例
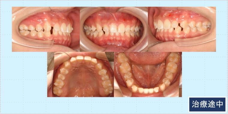
千葉県成田市 20代男性
『すきっ歯を治したい。』という主訴でした。
マウスピース型矯正装置(インビザライン)で審美的・機能的改善が達成されました。
1年6ヵ月で治療が終了できました。素敵な笑顔、美しい口元、これからもぜひ維持していきましょう。
インビザラインはご自身でマウスピース交換をして頂いて矯正治療を勧めていく治療になりますので適応症例に限りがありますが、事情があり1ヵ月に1回の通院が難しい方や外出を控えたい方などにお勧めの装置です。
症例紹介
診断名:骨格性Ⅰ級空隙歯列症例
年齢:20代 治療期間:1年6ヶ月 治療回数:12回 初診時日時:2023年10月18日
治療に用いた主な装置:
◎マウスピース型矯正装置(インビザライン)
抜歯部位:非抜歯
治療費:¥990.000-(通院費¥5.500別)
リスク・副作用:マウスピース矯正治療の最大のリスクは、シュミレーションと実際の歯の動きにズレが生じる場合があることです。予測実現性が高いシュミレーションにすることが重要です。また、シュミレーションと実際の歯の動きが異なる場合は、再スキャンして追加アライナーに変更していくなど、治療中の判断でリスク回避致します。