No.57 前歯突出感をマウスピース矯正(インビザライン)で短期間で改善した症例



No.57 前歯突出感をマウスピース矯正(インビザライン)で短期間で改善した症例
20代女性 習志野市藤崎
『上の前歯が出っ張っている。上下の歯のガタガタを改善したい。』という主訴でした。
マウスピース型矯正装置(インビザライン)で審美的・機能的改善が達成されました。
積極的にマウスピース型矯正装置(インビザライン)をご使用いただきましたので、治療はスムーズに進み、7ヵ月という短期間での治療で終了できました。素敵な笑顔、美しい口元、これからもぜひ維持していきましょう。
インビザラインはご自身でマウスピース交換をして頂いて矯正治療を勧めていく治療になりますので、適応症例に限りがありますが、事情があり1ヵ月に1回の通院が難しい方や外出を控えたい方などにお勧めの装置です。
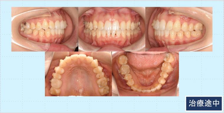
症例紹介
診断名:口唇閉鎖不全を伴う上下顎叢生症例
年齢:20代 治療期間:7ヶ月 治療回数:6回 初診時日時:2022年10月23日
治療に用いた主な装置:
◎マウスピース型矯正装置(インビザライン)
抜歯部位:非抜歯
治療費:¥550.000-(通院費¥5.500別)
リスク・副作用:マウスピース矯正治療の最大のリスクは、シュミレーションと実際の歯の動きにズレが生じる場合があることです。予測実現性が高いシュミレーションにすることが重要です。
また、シュミレーションと実際の歯の動きが異なる場合は、再スキャンして追加アライナーに変更していくなど、治療中の判断でリスク回避致します。