No.54 フルリンガル(上下裏側矯正)口ゴボ改善症例



AngleⅡ級上顎前突症例
20代男性 千葉県習志野市
『口ゴボ感を治したい』という主訴でした。
上顎両側4番を抜歯して、上顎前歯部を後方移動致しました。
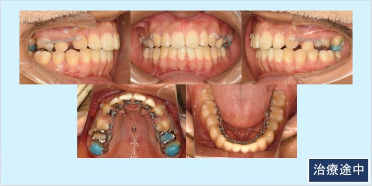
上顎口蓋正中部に歯科矯正用アンカースクリューを植立して上顎前歯部の後方移動を行い、口元・側貌・スマイルライン共に美しい仕上がりになりました。
MFTや顎間ゴム使用に対して積極的にご協力いただき、ありがとうございました。
美しい口元、口腔内環境をこれからもぜひ維持していきましょう。
症例紹介
診断名:AngleⅡ級上顎前突症例
年齢:20代 治療期間:3年0ヵ月 治療回数:30回 初診時日時:2022年3月9日
治療に用いた主な装置:
◎歯科矯正用アンカースクリュー
◎フルリンガル 上下顎:カスタムメイド型リンガルブラケット矯正装置(WIN)
抜歯部位:上顎両側4番
治療費:¥1,265,000-(通院費¥5.500別)
リスク・副作用:前歯の後方移動を行うと口元の突出感は確実に減少しますが、法令線が目立つなど好ましくない変化が起きることがあります。毎回の調整時に顔貌確認をして、前歯の引っ込め方の調整を行うことで、理想的な仕上がりを目指しています。