No.55 外科矯正をせずに矯正治療単独で切端咬合を改善した下顎前突症例



外科矯正をせずに矯正治療単独で切端咬合を改善した下顎前突症例
20代男性 習志野市
『外科手術を避けて矯正だけで反対咬合を治したい』という主訴でした。
下顎前突で前歯部が切端咬合であり、上顎は叢生を伴っていました。
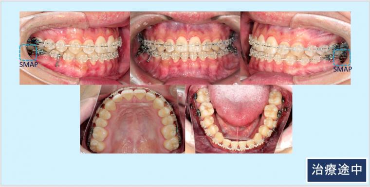
上下顎両側8番を抜歯し、下顎両側にSMAPを植立して、下顎全歯の後方移動を行い切端咬合を改善しました。
1年7カ月の唇側矯正治療で審美的・機能的改善が達成されました。
症例紹介
診断名:下顎前突を伴う切端咬合症例
年齢:20代 治療期間:1年7ヵ月 治療回数:23回 初診時日時:2024年1月6日
治療に用いた主な装置:
◎セラミック製マルチブラケット装置
◎SMAP
抜歯部位:上下顎両側8番
治療費:880.000(通院費¥5.500別)
リスク・副作用:
反対咬合を改善する時に、上顎前歯部が下顎前歯に一時強く当たる時期があります。その時に咬合性外傷による歯根吸収のリスクがあります。奥歯にセメントアップをして前歯部が当たらないように、咬合性外傷の予防をすることが大切です。