No.53 ハーフリンガルで歯列不整と狭窄歯列を改善した症例



No.53 ハーフリンガルで歯列不整と狭窄歯列を改善した症例
20代女性 千葉県市川市
『下唇が犬歯の出っ張りに引っ掛かるほど歯がガタガタしている。歯ぐきの見え方も減らしたい』という主訴でした。
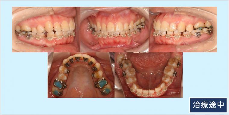
上顎両側5番、下顎両側4番を抜歯して、上下顎前歯部を後方移動致しました。
上顎左側臼歯部の頬側にもブラケット装置を装着し叢生の改善をしました。口元・側貌・スマイルライン共に美しい仕上がりになりました。
最終的な微調整では正中を出来る限り一致させる為に、顎間ゴムを使用して頂きました。
ご協力ありがとうございました。美しい口元、口腔内環境をこれからもぜひ維持していきましょう。
症例紹介
診断名:重度叢生、軽度下顎前突症例
年齢:20代 治療期間:2年3ヵ月 治療回数:26回
治療に用いた主な装置:
◎ハーフリンガル:上顎 カスタムメイド型リンガルブラケット矯正装置(WIN)、セラミックラビアルブラケット矯正装置、下顎 プラスチックラビアルブラケット矯正装置
抜歯部位:上顎両側5番、下顎両側4番
治療費:¥1.210.000-(通院費¥5.500別)
リスク・副作用:側貌のラインは整っていました。口元を引っ込め過ぎないように毎回の調整時に顔貌確認をして、理想的な仕上がりを目指しています。