No.52 口ゴボと下顎後退症をハーフリンガルで改善した症例



No.52 口ゴボと下顎後退症をハーフリンガルで改善した症例
20代女性 千葉市花見区
『あごなし、ガミースマイルを外科矯正は避けてできる限り治したい。口ゴボで、口を閉じることができない』という主訴でした。
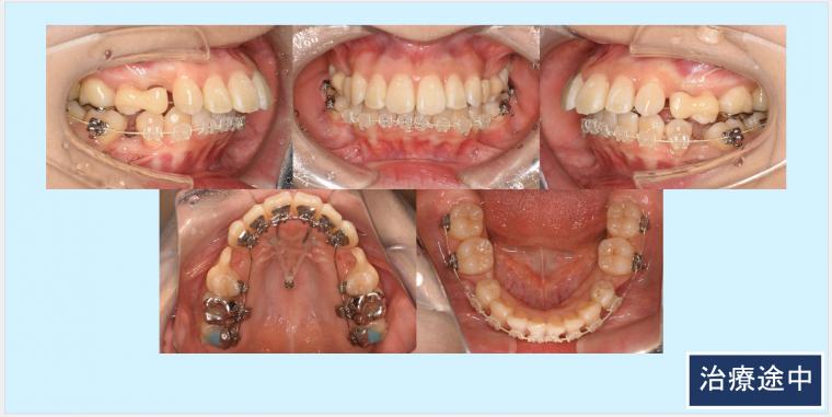
上顎両側4番、下顎両側5番を抜歯して、上下顎前歯部を後方移動致しました。
上顎臼歯部の頬側に歯科矯正用アンカースクリューを埋入して臼歯部の固定を行い、上顎前歯部を後方移動させていきました。また、ガミースマイルの改善のために上顎口蓋正中にも歯科矯正用アンカースクリューを植立させて、上顎前歯部に圧下力を加えました。
最終的な微調整では正中を出来る限り一致させる為に、顎間ゴムを使用して頂きました。
ご協力ありがとうございました。美しい口元、機能的な咬合をこれからもぜひ維持していきましょう。
症例紹介
診断名:口唇閉鎖不全伴う下顎後退症
年齢:20代 治療期間:2年3ヵ月 治療回数:28回
治療に用いた主な装置:
◎歯科用アンカースクリュー
◎ハーフリンガル:上顎 カスタムメイド型リンガルブラケット矯正装置(インコグニート)下顎 セラミックラビアルブラケット矯正装置
抜歯部位:上顎両側4番、下顎両側5番
治療費:¥1.320.000-(通院費¥5.500別)
リスク・副作用:前歯の後方移動を行うと口元の突出感は確実に減少しますが、法令線が目立つなど好ましくない変化が起きることがあります。毎回の調整時にお顔全体の確認をして、前歯の引っ込め方の調整を行うことで、好ましくない変化を予防して理想的な仕上がりを目指しています。