No.50 フルリンガルで口ゴボを改善した症例



No.50 フルリンガルで口ゴボを改善した症例
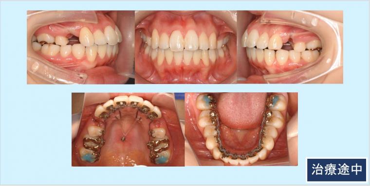
20代女性 千葉県習志野市
『口ゴボを改善したい、咬み合わせを機能的にしたい』という主訴でした。
上下顎前歯歯軸が唇側傾斜し、口元の突出感が強く完全に口を閉じるのが難しい状態でした。
上顎両側4番を抜歯し、歯科矯正用アンカースクリューを用いてガミースマイル気味の前歯も改善致しました。
1年7か月のフルリンガル矯正治療で審美的・機能的改善が達成されました。
前歯の叢生が改善され、口元が閉じられるようになり、横顔のlineもすっきりしました。
ご協力ありがとうございました。
症例紹介
診断名:AngleⅡ級上顎前突症例
年齢:20代 治療期間:2年0ヵ月 治療回数:26回 初診時日時:2022年8月3日
治療に用いた主な装置:
◎上下顎カスタムメイド型リンガルブラケット矯正装置 (インコグニート)
◎歯科矯正用アンカースクリュー
抜歯部位:上顎両側4番
治療費:1.485.000(通院費¥5.500別)
リスク・副作用:ガミースマイルの改善は、歯科用アンカースクリューから上顎前歯部を引っ張り、後方移動と共に圧下する必要があります。
通常の後方移動よりも歯根吸収のリスクが大きいので、定期的にデンタル写真を撮影して確認し、弱く持続的な力で、注意深く矯正力をかけていきます。