No.56 ハーフリンガルとマウスピース治療のコンビネーションで治した上下顎前突症例



No.56 ハーフリンガルとマウスピース治療のコンビネーションで治した上下顎前突症例
20代女性 習志野市谷津
『口が閉じにくい、口元の前突感を改善したい、引っ込みすぎた口元は避けたい』という主訴でした。
上下顎両側5番を抜歯して、「口元の引っ込みすぎ」に注意しながら、前歯部後方移動を致しました。
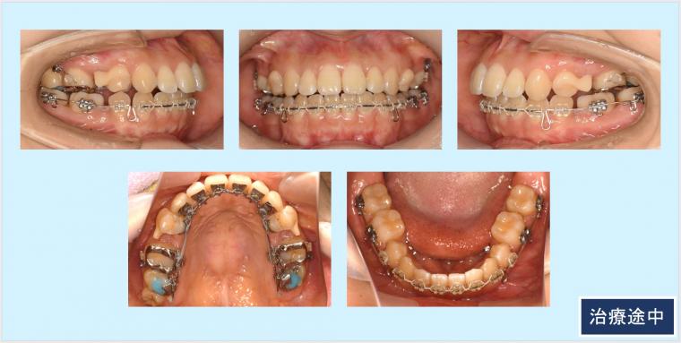
上顎臼歯部に歯科矯正用アンカースクリューを植立して臼歯部の固定を行い、口元・側貌・スマイルライン共に美しい仕上がりになりました。
最終的な微調整ではマウスピース矯正治療を行ない、個性正常咬合の獲得を行いました。
症例紹介
診断名:口唇閉鎖不全伴う上下顎前突症例
年齢:20代 治療期間:2年6ヵ月 治療回数:30回
治療に用いた主な装置:
◎歯科矯正用アンカースクリュー
◎ハーフリンガル:上顎 カスタムメイド型リンガルブラケット矯正装置(WIN)、下顎 プラスチックラビアルブラケット矯正装置
◎マウスピース型矯正治療装置
抜歯部位:上下顎両側5番
治療費:¥1.100.000-(通院費¥5.500別)
リスク・副作用:上顎前歯部の後方移動時に歯根吸収のリスクがあります。数か月に一度レントゲンを撮影して歯根の状態を確認しながら注意深く移動を行います。